精准诊断“慧眼”加持,脊柱外科告别“盲人摸象”——磁共振助力安顺市人民医院第一分院(关岭自治县人民医院)医疗服务能力跃升

对于脊柱外科医生来说,脊柱区域结构复杂,神经血管密布,以往的手术常常被形容为“在迷宫中的探索”。如今,随着磁共振技术的深度应用,安顺市人民医院第一分院(关岭自治县人民医院)脊柱外科成功实现了从“盲人摸象”到“看清针尖麦芒”的跨越,为患者带来了更精准、更安全的诊疗体验。

从“摸骨头”到“看神经”,一次诊疗的革命性升级

在过去,由于医疗设备的限制,医生在面对腰痛或腿麻的患者时,主要依赖CT、X线检查。然而,这两种检查方式对于骨骼的显示非常清晰,但对于导致疼痛的“元凶”——椎间盘、神经、脊髓等软组织,却如同雾里看花。

“这就好比我们只看到了房子的大致结构,却看不清房子里的线路和水管。”“组团式”帮扶专家、遵义医科大学附属医院医学影像科副主任医师刘松江博士打了个形象的比喻。X光片只能给脊柱拍一张“黑白证件照”,看的是骨骼的大体形态;CT扫描则像是给骨头做了一个精细的“3D建模”,能看清骨刺和细微骨折。但是,当患者因为腰椎间盘突出压迫神经导致腿疼时,医生更需要清楚的是那根被压住的“神经”以及突出的“椎间盘”,明确“罪魁祸首”。

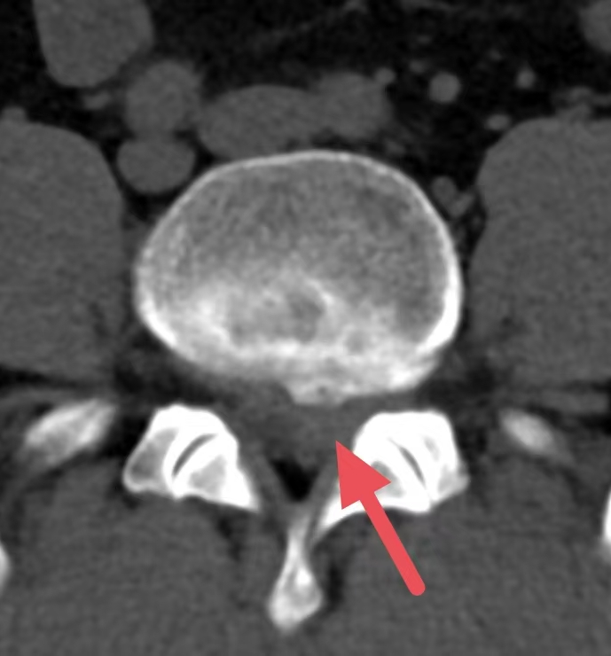
(CT影像下的腰椎间盘脱出所见)

(磁共振影像下的腰椎间盘脱出所见)

磁共振技术被誉为软组织的“透视眼”。磁共振利用水分子振动成像,对椎间盘、脊髓、神经根、韧带等含水量高的软组织具有极高的分辨率。在磁共振图像上,医生可以清晰地看到突出的椎间盘究竟在哪个位置、压迫了哪一根神经根、压迫的程度是轻度接触还是重度挤压,甚至能观察到神经本身是否出现了水肿或变性。

罗某,男,47岁,因“反复腰背部左臂、左大腿疼痛1周,加重1天”入院,MR(磁共振)检查显示:L4/5椎盘膨出并左后突出,腰椎骨质增生。经专家团队讨论征求家属同意后成功开展“脊柱内镜下腰椎间盘髓核摘除术”,一周后康复出院。

(镜下见脱出间盘压迫神经根)

(摘除间盘后神经根压迫解除)

精准诊断,让治疗“有的放矢”

发现隐匿性病变,不做“冤大头”。临床上常有患者因剧烈腰痛前来就诊,但X光片显示骨头完好无损。过去,这可能会被简单地归结为“腰肌劳损”。而现在,磁共振能轻易发现X光和CT无法显示的早期骨髓水肿、隐匿性骨折以及早期椎间盘感染。这不仅能帮助患者找到真正的病因,避免了误诊误治,也大大提升了医院处理复杂脊柱创伤和感染性疾病的能力。

(CT发现胸10骨折,磁共振发现胸9、12损伤)

为手术装上“导航”,提升安全系数。在脊柱肿瘤或脊髓损伤的治疗中,磁共振的价值更为凸显。它不仅能显示肿瘤的边界及其与周围重要神经、血管的关系,还能评估脊髓本身的水肿、出血或断裂情况。这使得医生在切除病灶时,能够像拥有导航仪一样,在最大程度保护神经功能的前提下,精准切除病灶,大大降低了瘫痪等严重并发症的风险。

(腰2骨折伴相应水平椎管内肿瘤MR及显微镜下所见)

魏某,男,48岁,“上楼梯时不慎摔伤”致腰部疼痛、活动受限入院,MR(磁共振)检查显示:L2椎体骨折,腰2水平椎管内占位性病变。经外三科(神经外科、脊椎外科)主任、副主任医师吴隆俊团队讨论并经家属同意后一期行:显微镜下椎管内病损切除术 腰椎骨折内固定术。术后恢复良好,避免患者多次手术。

外三科(神经外科、脊椎外科)主任、副主任医师吴隆俊团队手术中

技术赋能,家门口的“省级”诊疗服务

随着磁共振设备的引入及深度使用,在“组团式”帮扶专家及“东西部协作”专家的共同努力下。曾经需要辗转省市大医院才能做的复杂脊柱手术,如今在县内就能完成,解决了群众“看病难、看病贵”问题。

“以前听说要做脊柱手术,心里就发怵,总觉得是开大刀,风险大。没想到现在县医院的设备这么先进,医生把片子拿出来给我一看,哪里有病、怎么治,讲得清清楚楚,心里一下子就踏实了。”一位即将康复出院的患者感慨道。

告别“盲人摸象”的粗放时代,迈进“影像导航”的精准时代。安顺市人民医院第一分院(关岭自治县人民医院)脊柱外科正借助磁共振这一“火眼金睛”,不断精进技术,提升服务。这不仅是我院硬件设施提升的标志,更是医疗质量和服务能力深得人心、造福一方的具体体现。

未来,该院将继续依托先进的影像技术,让更多脊柱疾病患者在“家门口”就能享受到精准、微创、高效的医疗服务,挺起生命健康的脊梁。

编辑:张小维 责任编辑:王超 终审:谭力

相关文章