临沂市人民医院成功开展首例儿童面部血管瘤DSA引导介入治疗

鲁网1月23日讯近日,临沂市人民医院儿内科二病区张庆彪主任、刘海滨副主任医师团队成功完成院内首例数字减影血管造影(DSA)引导下儿童面部血管瘤介入硬化治疗。手术的顺利实施,标志着医院在婴幼儿血管瘤微创介入治疗领域实现“零的突破”,为鲁南地区血管瘤患儿提供了更具针对性、更高疗效的精准治疗新路径。

本次治疗的患儿为10月龄男婴,家长于患儿出生1个月后发现其左侧面颊部出现青色包块,初始直径约2cm(硬币大小),随月龄增长逐渐增大至4cm左右(蛋黄大小)。患儿至临沂市人民医院就诊后,经体表包块彩色多普勒超声检查,明确提示“面部血管瘤”,遂以“婴幼儿血管瘤”收住儿内科二病区。

血管瘤是婴幼儿期较为常见的良性肿瘤,头面部为高发部位。此类病变若生长于暴露部位且未及时干预,即便进入自然消退期,也易遗留皮肤瘢痕、软组织萎缩、色素沉着或减退、毛细血管扩张及皮肤松弛等不可逆损伤,不仅严重影响患儿容貌美观,更可能在成长过程中引发自卑心理、社交回避等心理行为问题,对其身心健康造成长远影响。因此,现代儿科介入医学强调,面部等特殊部位血管瘤需把握出生后1-6个月增殖早期这一“黄金治疗窗”,通过积极干预抑制病灶增殖,最大限度降低外观损害与心理创伤风险。

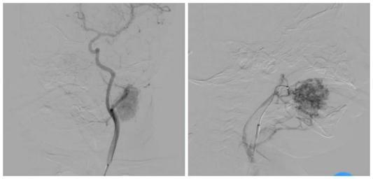
针对该患儿的病情特点与治疗需求,张庆彪主任携手刘海滨副主任医师,带领团队开展多学科术前评估、影像学分析及方案论证,最终确定采用DSA引导下介入硬化治疗方案。手术中,医疗团队依托DSA设备的实时动态成像与“精准导航”功能,经患儿股动脉穿刺建立微创通道,将微导管、导丝精准送达面部血管瘤供血动脉主干,在透视下缓慢注入硬化剂,使病灶血管内皮细胞坏死、管腔闭塞,实现“靶向根治”效果。整个手术过程历时短、创伤仅为穿刺点大小,术后患儿生命体征平稳,病灶即刻呈现萎缩趋势,疗效立竿见影。

DSA引导下血管瘤介入硬化治疗是血管介入领域的前沿技术,其核心优势在于精准定位、微创操作、恢复迅速、无明显瘢痕残留,尤其适配面部等对美观要求极高的部位病变。目前,该项技术在山东省内儿科领域尚属少数医院开展,临沂市人民医院此次首例手术的成功实施,不仅填补了区域内儿童面部血管瘤精准微创治疗的空白,为鲁南、苏北地区血管瘤患儿带来了更优质的医疗选择,更彰显了医院“技术创新驱动学科发展”的核心理念,进一步提升了医院在儿童介入医学领域的学科竞争力,强化了区域医疗中心的技术辐射与服务能力,未来将为更多患儿及家庭带来康复福音。(通讯员 胡志鲁 刘海滨)

责任编辑:王军

相关文章