新技术!一网打尽肺动脉内致命血栓,北京大学人民医院青岛医院血管外科用上“新武器”

鲁网1月15日讯肺动脉内的致命血栓,是极易被忽视的隐形杀手,能在短时间内夺去患者生命。近日,北京大学人民医院青岛医院血管外科成功应用肺动脉取栓支架系统,为高危肺栓塞患者实施微创介入手术,为急性高危、重症肺栓塞患者提供了一种更为积极有效的微创治疗选择。

69岁的孙阿姨(化名)从外地来青岛探望孩子,却在三天前突感持续胸闷,活动后加重,休息也难完全缓解,还伴有出汗、恶心。在北京大学人民医院青岛医院,血管外科医生意识到,这看似没有特异性指征的不适,背后可能隐藏着呼吸循环系统的隐形杀手:急性肺栓塞。

急性肺栓塞

急性肺栓塞是由于血栓堵塞肺动脉而导致的一系列危重病症。起病可以非常急骤,但症状却常常缺乏典型性,往往仅为胸闷、气促,很容易被误认为是普通的心脏不适或劳累。然而,一旦主干或大面积的肺动脉被血栓堵住,肺部血液交换会快速恶化,右心负荷猛增,可在短时间内导致休克甚至猝死,凶险程度不言而喻。

面对这个隐形杀手,临床治疗一直存在难点。传统的药物溶栓治疗有效,但对于部分患者存在较高的出血风险限制;而常规的介入导管取栓,有时对于广泛、陈旧或嵌顿牢固的大块血栓,难以实现完全、彻底的清除。

面对孙阿姨的危急情况,北京大学人民医院青岛医院血管外科团队迅速集结。

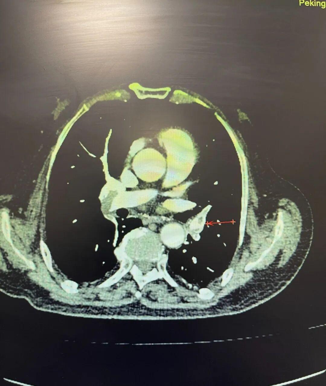
肺动脉CT血管成像清晰地显示,患者双肺动脉主干及几乎所有主要分支,都被大量血栓堵塞。

经过紧急而周密的评估,血管外科孙念峰主任团队决定启用前沿介入新技术,使用肺动脉取栓支架为孙阿姨实施手术,解决传统取栓不够彻底的痛点。

手术室中,在影像设备引导下,手术团队精准操作。与单纯抽吸或碎栓的导管不同,新技术使用的取栓装置更像一个设计精巧的“网兜”。

它被送达血栓部位后,准确嵌入血栓内部并将其整体包裹、抓牢,连同装置整体撤出体外,更完整地移除大块、甚至延伸至分支的血栓,实现血管的深度清洁。

手术过程紧张有序。当取栓装置从患者右肺下叶动脉成功收回时,暗红色血栓被取出。即刻造影复查显示,原本几乎闭塞的血管恢复了通畅,血流影像显著改善。紧接着,手术团队又为她安全放置了一枚可回收的腔静脉滤器,在血液回流的通道上设置了一道安全滤网,以预防未来可能出现的血栓再次脱落风险。

术后,孙阿姨的胸闷症状明显缓解,血氧饱和度稳步回升,脱离了危险。

此项新技术尤其适用于血栓量大、药物溶栓风险高或传统导管取栓效果可能欠佳的患者,能更迅速地为患者重建肺部血流,改善心功能,为后续康复创造有利条件。新技术的应用使北京大学人民医院青岛医院在危急重症肺血管疾病的综合救治能力上实现了新的提升。

责任编辑:刘亮亮

相关文章