转危为安丨百岁老人食管异物卡顿 青大附院紧急内镜化解危机

鲁网1月8日讯凌晨3:00,青大附院西海岸院区消化内镜中心依然灯火通明,消化内科崔铭娟副主任医师带领团队,在多学科医护人员的协助下,成功为一名102岁的高龄患者实施内镜下食管异物取出术,将卡在老人食管中的鸡脖完整取出,使患者转危为安。

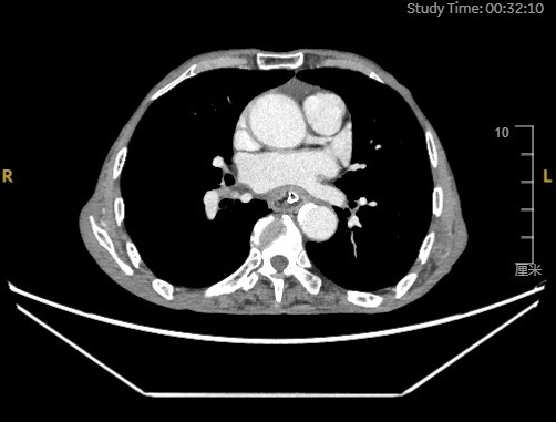
家住临沂市兰陵县的刘爷爷不慎误吞鸡脖,连续4天尝试多种办法始终无法自行取出,已出现吞咽困难及胸痛症状,紧急前往当地医院就诊。CT检查显示,患者食管内异物周围可见气体,考虑为食管壁损伤,且异物位置紧邻左心房,取出风险极高,当地医院建议立即转入上级医院进一步治疗,家属连夜驱车数百里来到青大附院西海岸院区。

急诊科、耳鼻咽喉科值班医师接诊后,迅速启动应急处置流程,立即联系消化内科会诊。崔铭娟副主任医师第一时间进行会诊,面对百岁高龄、基础情况复杂的患者,她深知实施内镜手术的高风险,操作稍有不慎,易引发食管穿孔、大出血、纵隔感染等严重并发症,危及患者生命。“年龄绝不是放弃治疗的理由。越是高龄患者,我们越要全力以赴。”崔铭娟耐心安抚患者与家属情绪。经放射科团队紧急CT检查,发现异物已部分嵌入食管壁,最薄处仅剩3毫米。在精准评估异物位置、与邻近组织的关系及手术风险后,崔铭娟果断确定治疗方案,决定为患者实施急诊内镜下异物取出术。

内镜中心团队迅速做好各项准备,崔铭娟在医护团队的密切配合下,凭借精湛的内镜技术,精准将长约3厘米的尖锐鸡脖从食管中安全取出。术后患者生命体征平稳,不适感明显缓解,家属悬着的心也终于落下。

作为区域消化疾病诊疗中心,青大附院消化内科长期致力于肝脏、胆道、胰腺、胃肠等系统的疾病微创诊疗,逐步形成了以胃镜、肠镜、十二指肠镜、胆道镜、超声内镜等先进内镜技术为核心的特色专科体系。未来,青大附院消化内科团队将继续秉持“开拓创新,精益求精”的理念,进一步强化多学科协作与技术攻坚,提升急危重症救治能力和复杂疾病诊疗水平,让更多高龄、高危患者受益。

相关链接

食管异物是常见的消化内科急症,多见于老年人和儿童,而老年人因咀嚼功能减弱、感觉迟钝而更易发生。专家提醒,一旦发生疑似被食管异物卡住的情况,切忌采用吞饭团、喝醋等“土方法”,这些方法很可能导致异物扎得更深,造成二次损伤,甚至消化道穿孔。应立即禁食禁水,并尽快前往具备内镜诊疗能力的医疗机构就诊。(鲁网记者)

责任编辑:刘亮亮

相关文章