北京方案,青岛治疗!从难以手术到病理完全缓解,两位肺癌患者的绝地求生记

鲁网12月8日讯当肺癌患者无法立即手术,又面临复发风险高的困境时。有没有一条希望之路?近日,来自浙江与潍坊的两位肺癌患者在北京大学人民医院和北大人民医院青岛医院胸外科团队的努力下,通过北京方案、青岛治疗的模式,完成了从难以手术到肿瘤细胞消失的逆袭!

北京大学人民医院胸外科院士团队常态化在北京大学人民医院青岛医院坐诊,岛城市民在家门口,即可享受顶尖诊疗服务!

“病理结果出来了,太好了,又是一例pCR,完全缓解!”听到管床医生的话,来自浙江的肺癌患者赵大叔(化名)长舒一口气。几个月前,病友钱大叔(化名)也收到了同样的好消息——病理完全缓解,那一刻,他心头悬着的大石,终于落了地。

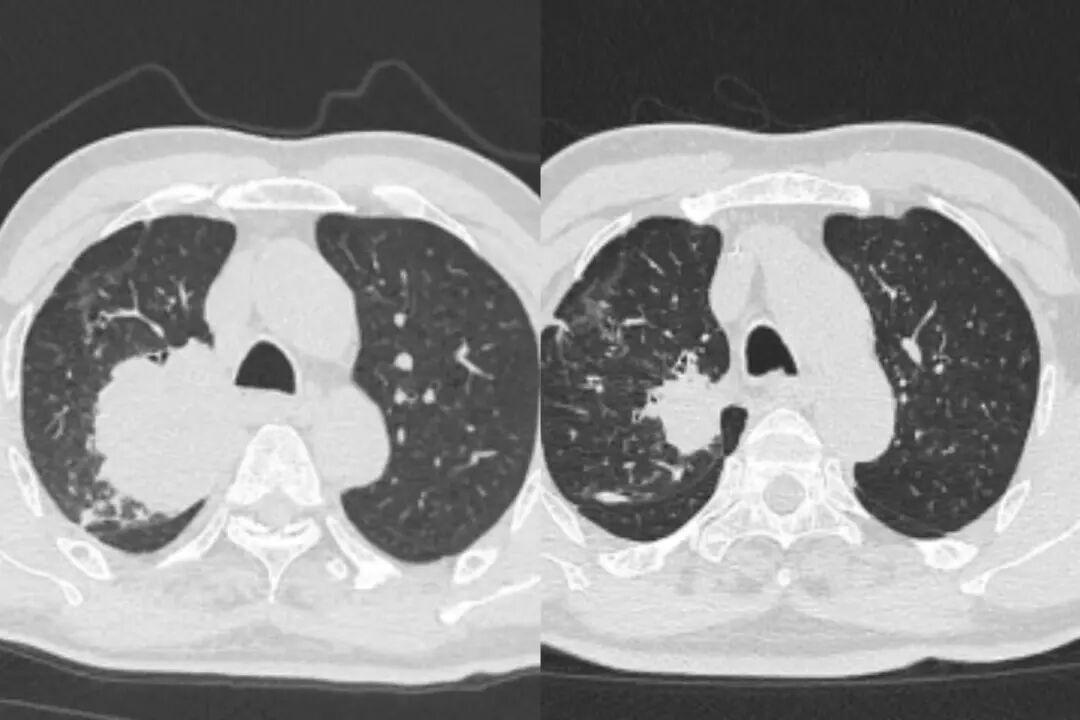
△赵大叔治疗前后CT对比

pCR,即病理学完全缓解,在肿瘤治疗中是一个金标准式的胜利。它意味着患者在接受术前新辅助治疗后,手术切除的病灶组织中已检测不到癌细胞。对患者而言,代表着他们很可能告别肿瘤,重回正常生活。

确诊

两位肺癌患者生命亮起红灯

两个多月以前,浙江赵大叔因为咳嗽就诊于当地医院,查出右肺有一个6公分多的肿物。他们第一时间赶到青岛,在北京大学人民医院青岛医院北大知名专家门诊,慕名找到北京大学人民医院胸外科院士团队成员李剑锋主任。李主任看完检查结果后,果断建议住院完善气管镜,明确病理诊断和分期,最终诊断为右肺下叶恶性肿瘤(鳞癌 cT3N2bM0 ⅢB期)。

△李剑锋教授常态化在青岛开展工作

“虽然已经有心理准备,但是得知这个结论,脑子还是嗡的一下。”家属说,他们千里迢迢赶到青岛,就是为了争取更好的手术机会。

几个月前。潍坊的钱大叔也在体检中发现了肺部占位,他们第一时间前往北京找到北京大学人民医院肺癌中心副主任、日间诊疗区主任燕翔教授。燕教授在制定治疗方案后,考虑钱大叔家在山东,距离青岛更近,建议他转到北京大学人民医院青岛医院接受治疗和手术,这样对家庭来说更为便利。

转机

北京方案,青岛治疗

收治患者后,胸外科团队第一时间整理患者资料,请燕翔教授会诊。

“这两位患者的情况,直接手术难度大,且容易复发。”燕翔教授解释。详细查阅资料后,她提出关键决策,实施化疗联合免疫治疗的新辅助治疗方案,为手术创造最佳条件。

这相当于一种围剿战术,在手术前,先对肿瘤进行精准打击,使其缩小、降期,甚至彻底清除微转移灶。

燕翔教授拥有十余年肿瘤临床与科研经验,尤其擅长肺癌、食管癌等胸部肿瘤的靶向、免疫及化疗等综合治疗。在她的指导和北大人民医院青岛医院胸外科团队的照顾下:

赵大叔

顺利完成每一周期的治疗和随访。第一次复查结果评价为PR(部分缓解),这给了大家充足的治疗信心,完成了三周期的新辅助治疗,经过李剑锋教授评估,可以实施手术了。

钱大叔

而钱大叔的治疗并非一帆风顺。两个周期后,效果并不理想。关键时刻,胸外科团队迅速整理好所有新数据,再次发起线上会诊。燕翔教授考虑患者的病理显示肺腺癌部分伴神经内分泌分化,结合既往的治疗经验,将常规的治疗方案更换为紫杉醇类药物。调整方案后,奇迹发生了。两个周期下来,肿瘤明显退缩。希望的曙光,再次照亮。

手术

病理完全缓解,肿瘤细胞消失

经过充分准备,两位患者先后由李剑锋主任主刀,成功接受了肺癌治疗术。

最终的病理报告带来了最振奋人心的消息,两人的手术标本均达到了pCR,肿瘤细胞已经消失。

△钱大叔治疗前后CT对比

实现pCR,可以说是患者治疗的一个重要节点。李剑锋主任表示,这意味着患者不仅获得了手术的机会,术后也大概率无需再进行放化疗,极大地减轻了身心负担,真正实现了高质量的长久生存。(通讯员 刘裕)

责任编辑:刘亮亮

相关文章